Skip to main content

Smiles for a Lifetime

We are committed to excellence. By providing our patients with exceptional dentistry and personalized care, our patients return to our office again and again because they recognize the value we offer.

Dental Crowns
A healthy, beautiful smile starts here

Dental Crowns | Dentist
Improve your smile today – call to schedule a consultation!
Claim Now!

Dental Crowns

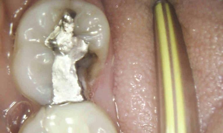
Everyone wants a beautiful smile, but most people aren't born with one. If your smile is less than perfect and you would like to improve the appearance while offering support and protection for teeth that are cracked, chipped, or otherwise damaged, a dental crown may be the best solution.

Why Do I Need a Crown?

If you have teeth that have been damaged or weakened by decay or trauma, a dental crown can be used to strengthen the tooth while providing an esthetic upgrade. Crowns can also be used to protect your teeth after a root canal or simply to enhance the appearance of a tooth that is too small or misshaped.

Crowns offer many benefits, including:

  • Protection for cracked or chipped teeth from further damage 
  • Strength and restoration of the appearance of your tooth after a root canal
  • Restoration of normal biting and chewing for damaged or imperfect teeth
  • A beautiful appearance to enhance your smile

What Is a Dental Crown?

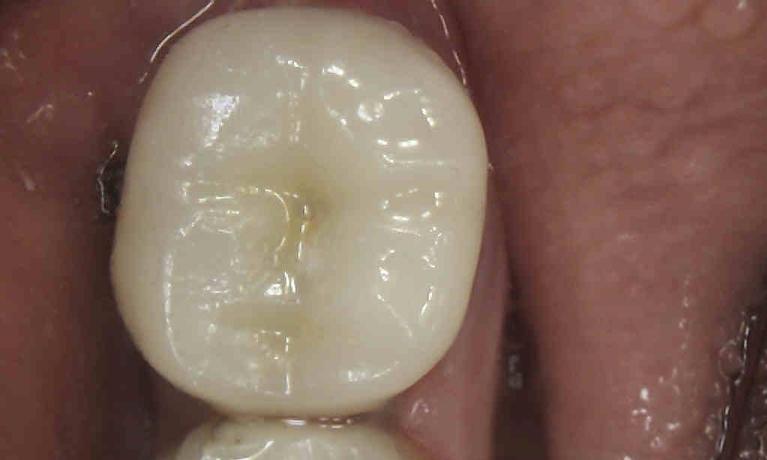
A crown is an artificial tooth made of porcelain, zirconia, metal such as gold, resin, or porcelain fused to metal (PFM). The crown is crafted to fit over your natural tooth like a cap, and porcelain, zirconia, and resin crowns can be matched to your natural tooth color to look just like a real tooth.

Our Naugatuck, CT practice now offers CEREC crowns, a service that provides same-day crowns right in our office. The CEREC crowns are crafted from a digital reconstruction of your tooth using photographs and CAD technology to create a custom crown in our dental office. With CEREC crowns, we can save you a second visit to our office and eliminate the need for a temporary crown.

How Do I Get a Crown?

If you are in need of a dental crown, Dr. Almeida will discuss your crown options with you. If a CEREC crown is chosen, we will take photos of your mouth to create the CAD image of your tooth and start crafting your new crown with our CEREC machine. For other crown options such as PFM or gold, impressions are taken of your mouth to ensure a proper fit, and the crown is crafted in a dental lab.

The tooth is prepared for the crown by removing some tooth material to make room for the dental crown. Sometimes there isn't enough natural tooth left to create a strong support for your crown if decay or damage is extensive. In these situations, we can use a post and buildup to add material to your tooth to help the crown stay strong and secure. If your crown will be lab-created, a temporary crown is made to protect the tooth and is glued into place with a temporary cement.

Once the permanent crown is ready, the temporary crown can be easily removed. The crown is checked for a proper fit and adjustments are made as necessary. When the crown is perfect and the proper bite is achieved, the crown is cemented into place. Your new dental crown should give you years of smiling and chewing comfort.

Find Out More About Dental Crowns

If your smile is in need of improvement and you would like to find out more about dental crowns, call our dental office in Naugatuck, CT today to schedule an appointment.

Meet Our Doctor:

Alicia Almeida DMD, PC

Dr. Almeida earned her Bachelor of Science at the University of Connecticut and earned her dental degree at the University of Connecticut, School of Dental Medicine. She completed an Advanced Education in General Dentistry residency program at the University of Connecticut Health Center.  

Dr. Almeida holds memberships in the American Dental Association, the Connecticut State Dental Association and the Greater Waterbury Dental Society.  Dr. Almeida is committed to a lifetime of clinical learning and professional development.  She is currently completing the core curriculum of the Dawson Academy.  The Dawson Academy ...

Getting an appointment is fast and easy!
Get Started!