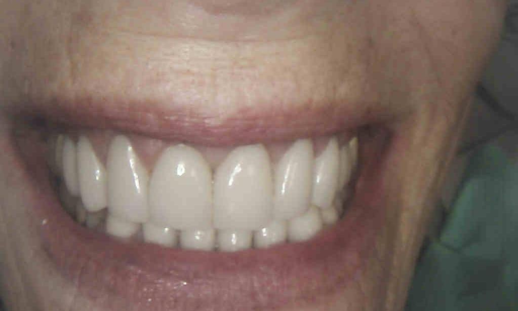
To help this patient achieve a brighter, more youthful smile, we elected to prepare the teeth for veneers and crowns. Working with our patient and our lab we selected the color and shape of the teeth that the patient desired. After the lab fabricated these beautiful restorations, we cemented them in. Our patient loves her new smile!
Warm Atmosphere
My Hygienist, Sylwia, is gentle and skilled. Highly recommend her and this practice. Dr. Almeida has created an atmosphere that is warm and provides excellent dental care.
-P.S.
 
 
 
