Alicia Almeida, DMD
Smiles for a Lifetime

Smiles for a Lifetime

We are committed to excellence. By providing our patients with exceptional dentistry and personalized care, our patients return to our office again and again because they recognize the value we offer.

Same Day CEREC Crowns

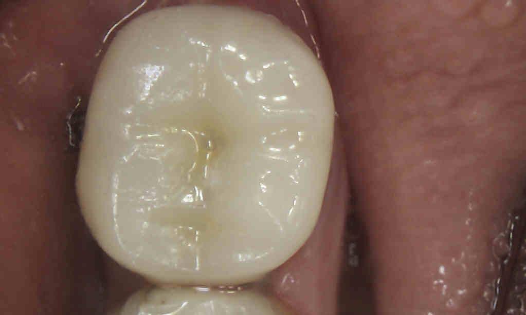
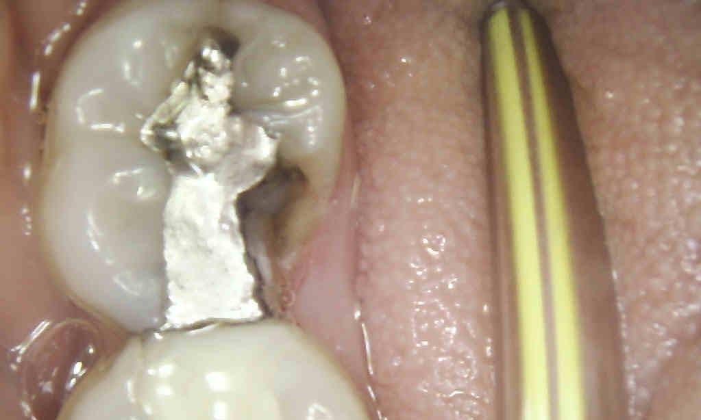
This patient presented to our office with a broken tooth. Because of the size of the old filling and the broken cusp, we elected to place a full coverage crown on the the tooth to give it more strength. The tooth was prepared and then digitally scanned with our CEREC CAD/CAM technology, the crown was milled in our office and cemented the same day. Our patient was very happy!

Related Services:

Dental Crowns
Warm Atmosphere

My Hygienist, Sylwia, is gentle and skilled. Highly recommend her and this practice. Dr. Almeida has created an atmosphere that is warm and provides excellent dental care.  

-P.S.

Ready to book an appointment?
If you have difficulty using our website, please email us or call us at (203) 729-5741
View the ADA Accessibility Statement