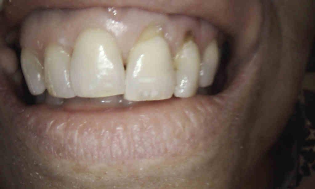
Sometimes lab fabricated veneers are not an option for a patient. Direct resin bonding can be done in the office and can improve the esthetics of the misshaped teeth. What a smile transformation!
Warm Atmosphere
My Hygienist, Sylwia, is gentle and skilled. Highly recommend her and this practice. Dr. Almeida has created an atmosphere that is warm and provides excellent dental care.
-P.S.
 
 
 
